
“能在这么短时间内由市中医医院与北医三院多名专家会诊,为我父亲制定了个性化的治疗方案,并且通过延安-北京绿色转诊通道,为我父亲完成射波刀局部治疗,减轻了我父亲的病痛,真的非常感谢。”患者王某的女儿握着肿瘤科医护人员的手激动的说。
2022年10月,延安市中医医院(北京大学第三医院延安分院)肿瘤科门诊接诊了一名确诊肺癌半年余,行替雷利珠免疫维持治疗的患者王某,患者当时确诊左肺肉瘤样癌ⅢA期(cT4N0M0),患者入院时左肺病灶经规范治疗已趋于稳定。
2023年3月,患者王某在儿女陪同下来到我院肿瘤科门诊复诊。
“医生,我父亲现在情况怎么样?”
“你父亲病情较治疗前变化明显,胸部CT示考虑右肺下叶上段结节恶性的可能。”
“确实是因为疫情的原因,我们没能规律治疗,医生你看看还有什么办法?”
“右肺结节性质趋于恶性可能性大,但双肺病变仍仅限于局部,我和北京的教授会诊看一下你父亲的检查报告。”
考虑到患者王某仍有局部射波刀治疗机会,北京驻延肿瘤科专家顾阳春迅速与北京大学第三医院总院呼吸科强光亮教授,肿瘤科曹宝山教授,放疗科庄洪卿教授进行了远程多学科MTD会诊,经会诊充分考量后,确定患者王某仍可接受射波刀局部治疗。
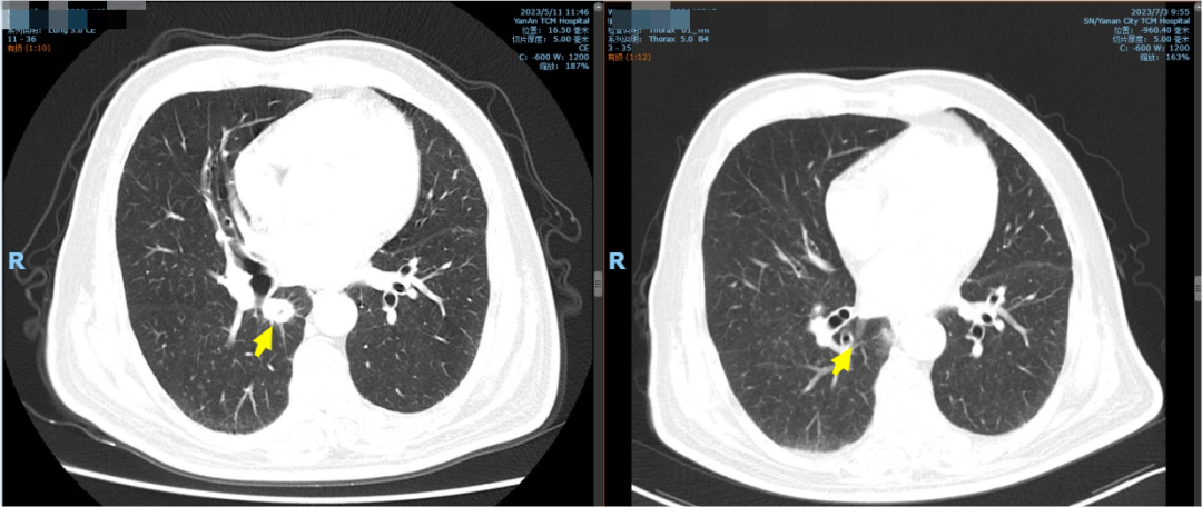
左图为射波刀治疗前,右图为射波刀治疗后
在确定治疗方案,告知患者及家属并征得同意后,我院立即启动了延安——北京转诊绿色通道,患者在延安完善胸部增强CT,支气管镜检查等相关检查后,5月份前往北京大学第三医院放疗科,考虑患者双肺病灶存在双原发的可能,为患者右肺病灶进行了射波刀治疗,接受治疗后患者胸部局部不适感减弱,且未出现不良反应,于是返回延安休养,等待下一步治疗。肿瘤科主任尹文琤说:“患者返回延安后继续在肿瘤科接受免疫维持治疗并行胸部增强CT检查,CT示右肺病灶符合射波刀局部治疗后影像学表现,目前患者肺部病情稳定。”
延安市中医医院(北京大学第三医院延安分院)肿瘤科自成立以来,在北医三院专家兼肿瘤科主任带领下,肿瘤诊疗管理逐步规范,医疗水平不断提高,通过延安——北京绿色转诊通道,服务能力得到进一步增强,为更多肿瘤患者带来了福音。
