
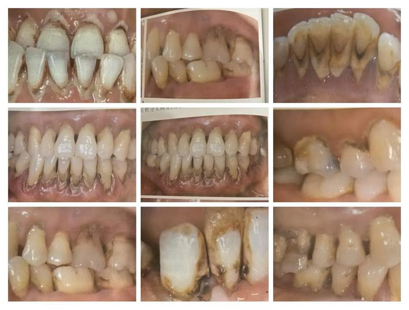
牙周炎是常见口腔疾病,由牙菌斑引发牙龈免疫炎症反应,致使牙周附着结构受损。
01.牙周炎有哪些症状?
牙龈红肿、出血,牙周袋形成,牙槽骨吸收,牙齿松动移位。早期干预治疗可以减缓或逆转牙周炎的进程。
02.牙周炎的治疗目标
创造健康牙周环境,让牙列功能良好。包括清除致病因子、消除炎症症状、阻止组织破坏并促修复再生、恢复牙周生理形态、重建稳固牙列、兼顾美观。
03.治疗方式有哪些?
包括牙周基础治疗、牙周手术治疗、修复治疗、牙周支持治疗等。
04.日常护牙小贴士
1.早晚用软毛刷刷牙,每次不少于3分钟。
2.改变吸烟、饮酒、熬夜、多饮咖啡与碳酸饮料等不良习惯。
3.均衡饮食,多摄入富含维生素 C、D 及钙、磷的新鲜蔬果、豆类等。
4.重视口腔卫生对全身健康的影响,牙周炎与心脏病、糖尿病、中风等慢性疾病相关,保持口腔清洁可预防慢病。

